
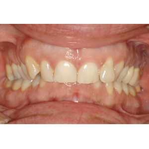
ESTADO DE LA BOCA DEL PACIENTE PREVIO AL TRATAMIENTO CON INVISALIGN
ESTADO DE LA BOCA DEL PACIENTE EN MOMENTO INTERMEDIO DE TRATAMIENTO CON INVISALIGN

ESTADO DE LA BOCA DEL PACIENTE PREVIO AL TRATAMIENTO DE ORTODONCIA CON INVISALIGN
ESTADO DE LA BOCA DEL PACIENTE AL FNALIZAR EL TRATAMIENTO DE ORTODONCIA CON INVISALIGN

ESTADO DE LA BOCA DEL PACIENTE PREVIO AL TRATAMIENTO DE ORTODONCIA CON DAMON SYSTEM
ESTADO DE LA BOCA DEL PACIENTE AL FINALIZAR EL TRATAMIENTO DE ORTODONCIA CON DAMON SYSTEM

ESTADO DE LA BOCA DEL PACIENTE PREVIO AL TRATAMIENTO DE ORTODONCIA CON DAMON SYSTEM
ESTADO DE LA BOCA DEL PACIENTE AL FINALIZAR EL TRATAMIENTO DE ORTODONCIA CON DAMON SYSTEM

ESTADO DE LA BOCA DEL PACIENTE PREVIO AL TRATAMIENTO DE ORTODONCIA CON DAMON SYSTEM
ESTADO DE LA BOCA DEL PACIENTE AL FINALIZAR EL TRATAMIENTO DE ORTODONCIA CON DAMON SYSTEM

ESTADO DE LA BOCA DEL PACIENTE PREVIO AL TRATAMIENTO DE ORTODONCIA CON INSIGNIA.
ESTADO DE LA BOCA DEL PACIENTE A MITAD DE TRATAMIENTO DE ORTODONCIA CON INSIGNIA.
633 65 99 67
info@dentologies.com
Copyright 2020
